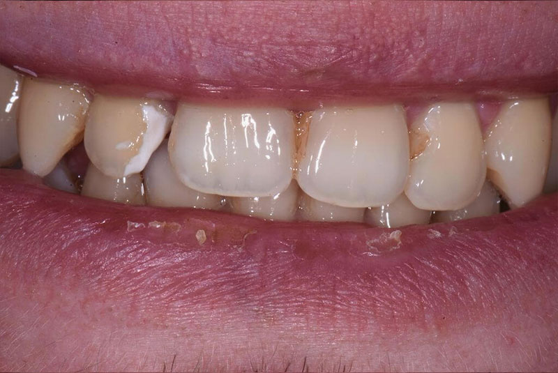
Cosmetic Dentistry - Brooklyn, NYC
Cosmetic Dentistry for a Smile That Changes Everything



If you're a good candidate for veneers
A Digital Smile Design to show you what you will look like with your new veneers!
Pricing and options for treatment
And best of all... a time to speak directly with Dr. Margarita Degtyareva. Top Cosmetic Dentists in Brooklyn, NYC!
© All rights reserved | Privacy Policy