Restorative
Our dental clinic in Brooklyn offers a full range of restorative dentistry services, which includes the disciplines of periodontics, endodontics, and prosthodontics. We have a specialist in each of these areas.
We are a team of highly trained and experienced dental professionals dedicated to providing top-quality dental care to our patients. Our clinic is equipped with state-of-the-art technology and we offer a wide range of services to meet the individual needs of each of our patients. We offer a variety of services to keep your smile looking its best, including wellness dentistry and cosmetic dentistry. You can get everything from a simple cleaning to dental implants, and everything in between.
Our team is committed to providing you with the highest quality care, so that you can keep smiling for years to come.

We accept CareCredit and offer additional financing options to make dentistry affordable for you.
With over 25 years of invaluable experience, our practice stands as a beacon of dental excellence. We pride ourselves on a flexible schedule that caters to the diverse needs of our patients. Our commitment to accurate diagnosis is unwavering, employing cutting-edge technology to ensure precision in every aspect of your dental care. Offering a wide range of dental services, we are your comprehensive destination for oral health. Understanding the financial considerations, we provide flexible payment plan options to make quality dental care accessible to all. The satisfaction of our patients is paramount, and our track record reflects a consistent commitment to keeping our patients happy and healthy.
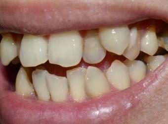
Full Mouth Restoration With Zirconia Veneers
Patient received 10 upper and lower Zirconia Veneers




We're committed to supporting families in our community! Learn more about how Always Beautiful Smile is helping.